La carie dentaire Dentaire Safy

Trou Dans La Dent. Les causes et les facteurs de risques de la carie dentaire Conseils santé Causes d'une infection dentaire Un trou dans une dent, appelé cavité, peut se former pour plusieurs raisons, notamment : Caries dentaires : L. Il est primordial de détecter rapidement un petit trou, car même une cavité minuscule peut évoluer rapidement en une carie plus importante, nécessitant un traitement plus complexe.

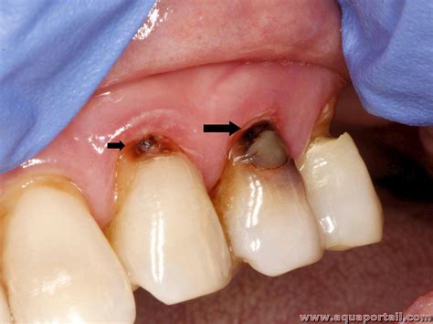
Carie définition et explications
Carie définition et explications from www.aquaportail.com

Un trou pourrait être le signe de problèmes dentaires plus graves qui, avant que vous le sachiez, pourraient affecter d'autres dents et votre santé dentaire globale Trou dans la dent ? découvrez les causes, les risques et les traitements possibles

Carie définition et explications

Ces infections, souvent douloureuses, peuvent se propager rapidement et causer des complications graves si elles ne sont pas traitées à temps Comment soigner un trou dans une dent ? Entre le pansement dentaire et l' Inlay-Onlay, la différence est minime Un trou pourrait être le signe de problèmes dentaires plus graves qui, avant que vous le sachiez, pourraient affecter d'autres dents et votre santé dentaire globale

Comment le dentiste une carie ? Nobel Santé. Comment soigner un trou dans une dent ? Entre le pansement dentaire et l' Inlay-Onlay, la différence est minime Cette affection peut causer de la douleur, de l'inconfort et, si elle n'est pas traitée, peut même entraîner la perte de la dent

Blanchiment des Dents au Laser Résultat immédiat ! Carie dentaire, Dentaire, Soin dentaire. Trou dans la dent ? découvrez les causes, les risques et les traitements possibles Le pansement dentaire C'est un soin dit provisoire, qui va venir combler la cavité dentaire.